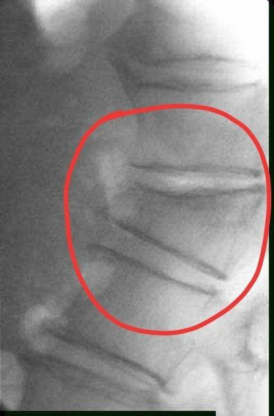
压缩性骨折就好比一个馒头被压扁了,但是又没有整个四分五裂,还是大致原来的环形轮廓。如果四分五裂了,那就是压缩性粉碎性骨折。
压缩性骨折经常出现于老年人,因为老年人的骨质疏松而导致骨质的强度明显减小,当受到垂直方向的暴力,会导致骨质的压缩变扁,从而出现压缩性骨折。

出现此类的情况多见于严重骨质疏松的老人在弯腰或者抬重东西的时候出现腰椎和胸椎的压缩性骨折。会即刻出现胸闷腰痛直不起腰,或者隐隐作痛,如果压缩性骨折并不是很严重的话,也很容易被遗漏。尤其是农村的留守老人,子女在外地工作的,来医院并不方便,所以多选择在家里面忍一忍。可随着时间的延长,疼痛并没有好转,再来医院检查的时候,骨折已经变成陈旧性的了。

有极少部分的骨折,并不会有明显的疼痛,或者只痛几天就好转了。但并不代表骨折恢复了。椎体的骨折一般要求:压缩小于1/2的可以保守治疗,卧床休息2到3个月,在医生的指导下逐渐的恢复坐立和行走。大于1/2的压缩性骨折是需要做手术的,目前常采用的治疗方案是pvp、pkp,是一种非常经济实用,效果好的治疗方案,比过去做钢板螺钉,撑开植骨要简单的多,但是任何手术方式都有它的缺点,具体情况也要具体分析。
