网站首页
医院概况
医院简介
医院文化
医疗设备
来院路线
医保政策
医疗特色
医院新闻
医疗特色
医生团队
医院新闻
治疗项目
运动损伤
脊柱骨科
关节骨科
手足骨科
创伤骨科
康复医学科
经典病例
在线咨询
健康了解
医保政策
医保政策
持卡就医 实时结算
符合相关规定的医保参保人员持身份证和医保卡在我院就医便可实现“持卡就医,实时结算”。而外省城市参与医保的患者来就医也可享受医保待遇.
微信交流
电话
谨防医托
新闻动态
>
学术动态
>
医院公告
>
患者飞鸿
>
义诊活动
>
官方微信
地图
为患者提供健康、疾病咨询服务
无需排队,优先安排就诊
“点击通话”一对一点击通话沟通
主页
>
医院新闻
>
新闻动态
>
不要小瞧8米高空作业 一脚踩空全身多处骨折
发布时间:2019-10-19 11:30 本院电话:020-84387989
分享到:
(通讯员 张丽仪 覃光顶)天气炎热,白日晃眼,高空作业要小心。近日,广州一名工地工人在高空作业的架子上踩空差点摔成“瓷娃娃”,直接失血性休克了,在广州和平骨科医院骨科医生的抢救下保住了性命。
陈先生(化名)是一名62岁的建筑工人,家住广州市黄埔区,常年做高空作业,也算是经验丰富的老工人了。4月23日上午,陈先生和往常一样在高空作业。当天炎热非常,陈先生一个不留神在高空作业的架子上踩空了,不慎从差不多两层楼高的地方跌下,当场不省人事,现场的同事被眼前一幕惊到,赶紧把陈先生送往附近的医院。
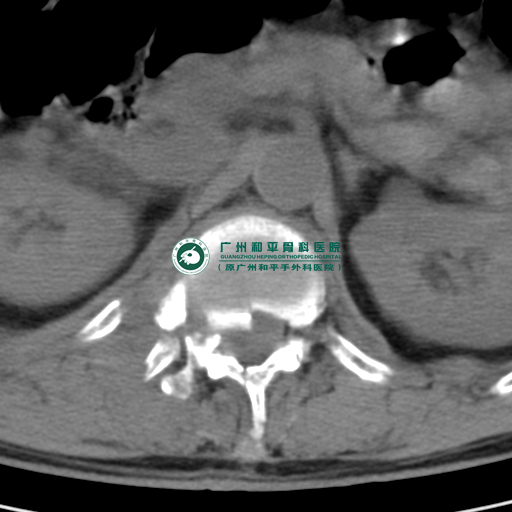
医生为他做完CT检查后发现胸椎暴裂性骨折、骨盆骨折、多发性肋骨骨折、血气胸,其间陈先生还出冷汗、四肢冰冷,胸部、腰背部、双髋部剧烈疼痛,胸闷,呼吸不畅,双下肢不能活动,已经不能回忆事情发生的经过。鉴于其伤势的严重性,在当地医院给予输液、吸氧、导尿治疗后转诊到位于广州市海珠区的广州和平骨科医院求医。
胸椎暴裂性骨折
广州和平骨科医院骨科主任、副主任医师胡铁山接诊陈先生,发现陈先生病情危重,已经出现失血性休克;多发性肋骨骨折、肺挫伤,血气胸,胸椎体暴裂性骨折并不完全性截瘫,骨盆骨折,腰椎骨折。为了及时抢救病人生命,胡铁山主任立即指挥骨科医生团队给陈先生补充液体量,配血,输血等抗休克治疗并完善相关辅助检查。由于病情危重,胡铁山主任为陈先生下病危通知并向他的家属解释清楚病情的危重性。经过抢救后陈先生失血性休克得以纠正,血压平稳,尿量正常,但他的病情危重,随时可能继续恶化,危及生命,广州和平骨科医院骨科的值班医生一直密切注意观察他病情变化,陈先生家人轮流守着,焦急的心一直悬挂着未曾放松。
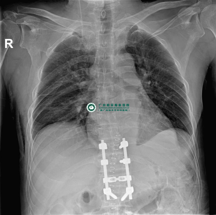
5月6日,该院骨科主任胡铁山、医生王亮和覃光顶为陈先生做脊椎骨折复位内固定、椎管减压术,术中复位骨折块,手术过程很顺利。
脊椎骨折复位内固定
近一周以来,陈先生感觉好多了,腰部、胸痛、双侧髋部疼痛较为减轻,口唇红润,也没有呼吸困难现象,病情已经稳定下来,术后右下肢感觉恢复,运动部分有恢复。陈先生现在的食欲还不错,睡眠和精神良好,家里人看着陈先生慢慢恢复,精神越来越好。陈先生感叹,高空作业不可掉以轻心。看起来7、8米不高,摔下来差点就没命了。
病人自己坐起来
(转自南方都市报)
上一篇:
107岁高龄老人右踇趾感染生蛆,和平骨科力排困难解疾患
下一篇:
家境贫困让这两父子放弃右腿,广州和平骨科医院无偿救回伤肢
阅读本文的读者还看了
>> 广州和平骨科医院2019年中层干部
>> 我院手三科古欣庆主任赴藏参与手
>> 喜讯!广州和平骨科医院当选广东
>> 热烈祝贺古欣庆主任在中国手足显
>> 祝贺!我院手外科医生在“2019和
官方统一挂号平台
选择科室:
请选择
运动损伤
脊椎骨科
关节骨科
手足骨科
创伤骨科
骨科康复
检查
其他
选择日期:
选择时间
08:00
09:00
10:00
11:00
12:00
13:00
14:00
15:00
16:00
17:00
姓名电话:
本院电话:020-84387989
医院地址:广州市海珠区聚德南路112-120号(双号)
咨询电话:020-84387989
COPYRIGHT 2019 JINANGUKE CO,LTD ALLRIGHTS RESERVED
粤ICP备16074964号-3
本网站信息仅供参考,不能作为诊断及医疗的依据.
具体相关信息可以来院来电了解.
网站地图