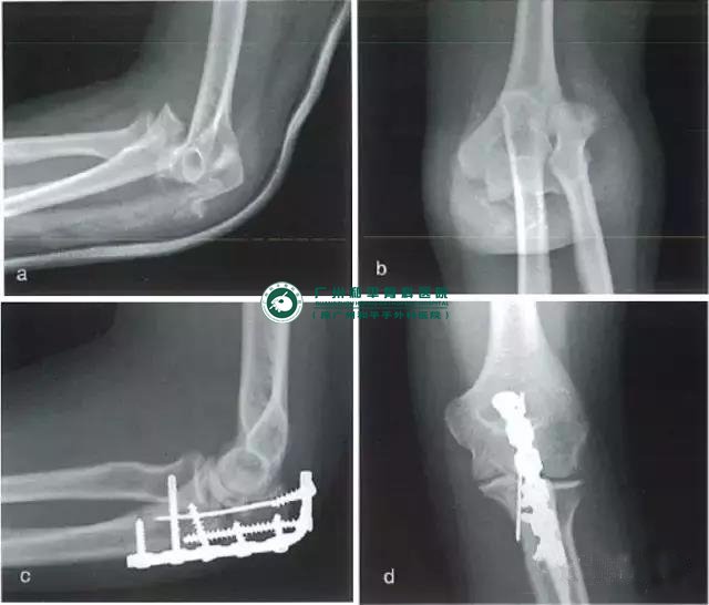
经尺骨鹰嘴的骨折脱位
肘关节屈曲90°时,来自前臂后方的直接高能量暴力可导致此类复杂肘关节损伤。必须将其与孟氏骨折区分开,前者的特点是桡骨与尺骨同时向前方脱位,而上尺桡关节保持完好。尺骨近端常常碎成多块,有一个大的冠状突骨块;合并桡骨头骨折的情况并不常见。其不稳定性主要是由于滑车切迹的破坏而不是肱尺关节脱位。侧副韧带可能被拉伤,但一般完整性存在。
手术采用后方入路,间接复位尺骨近端,方法与处理复杂鹰嘴骨折时相同。以1枚螺钉固定冠状突骨折块可增加稳定性。有时,冠状突完好但肘前关节囊撕脱,此时如果存在不稳定,需用铆钉修复。将塑形的重建钢板或3.5mmLCP钢板至于后侧,以支撑关节面,以及使用张力带钢丝环扎,都是可供选择的治疗方法。

a、伤后侧位片;b、伤后前后位片;c、术后侧位片;d、术后前后位片
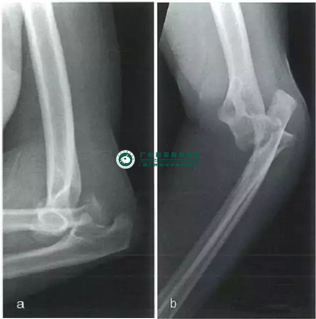
后方孟氏骨折脱位
此类损伤的发生机制与肘关节脱位类似,但脱位在近端尺骨粉碎骨折后出现,常合并累及冠状突或尺骨更远端的三角形或四边形骨折块。桡骨头常发生骨折并向后外侧脱位。外侧副韧带可能出现撕脱或撕裂,但内侧副韧带仍然完好。
如前所述,应用后方钢板重建尺骨近端可复位上尺桡关节。由后路用拉力螺钉直接固定冠状突骨折。有时通过牵引可使骨折自行复位。重建尺骨前方皮质的连续性是保证钢板起到张力带固定作用的关键。固定桡骨头骨折并修复外侧韧带结构,可为外侧柱提供足够的稳定性。

前方孟氏骨折脱位,侧位片提示尺骨近端粉碎骨折合并桡骨向前脱位
肘关节脱位合并桡骨头骨折与冠状突骨折
肘关节“恐怖三联征”指的是肘关节脱位合并桡骨头和冠状突骨折。近期文献均强调需对受损的骨性与韧带结构进行分期、细致的修复重建。手术入路依据具体病例及需修复的结构不同而定。可向近、远端延长的后方入路,由于比较好地显露内外侧结构而备受欢迎。首先,剥离外侧关节囊,探查外侧副韧带。超过50%的病例有伸肌总腱起点撕脱。在可能的情况下,冠状突骨折应在固定或置换桡骨头之前予以固定。如果不能从外侧完成,则需从内侧进行暴露,劈开和掀起屈肌与旋前肌群。
临床可见3种类型的冠状突骨折:
Ⅰ型:冠状突撕脱骨块太小而不能固定,可在尺骨近端钻孔,固定、修复与骨块相连的前关节囊。如此可足以恢复肘关节的稳定性。
Ⅱ型与Ⅲ型:冠状突撕脱骨块较大,应常规使用螺钉固定。通过钢板的普通钉孔,从后向前拧入螺钉。用细克氏针临时固定时,可以使用牙科钩或精细点的复位钳帮助维持复位。
近期的文献中描述了冠状突前内侧骨折这一新的骨折类型,此损伤由作用于肘关节后内侧的内翻暴力造成。为避免肱尺关节内侧不匹配,必须解剖复位骨折,以微型钢板稳定固定。固定或置换桡骨头,修复外侧副韧带复合体。如果仍不稳定,必须考虑使用铰链式外固定架。


a、复位前的侧位片;b、复位前的前后位片;c、复位后的侧位片;d、术中的前后位片;e、术中的侧位片
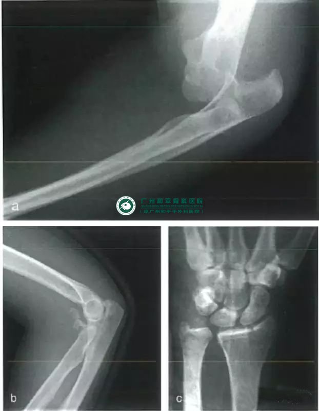
Essex-Lopresti损伤
这种复杂的损伤涉及肘关节骨折脱位合并桡骨远端骨折或下尺桡关节脱位。桡骨骨干有多段骨折或呈“漂浮”状态。如果合并上、下尺桡关节同时脱位,可导致严重的功能障碍。用于治疗孟氏损伤与盖氏损伤的固定技术同样适用于治疗这种损伤。

a、复位前的侧位片;b、复位后的侧位片;c、尺侧正常的腕关节,桡骨头损伤导致桡骨短缩